The Cells that Make Insulin
Observe the following images to actually see the cells that make insulin (and other hormones)
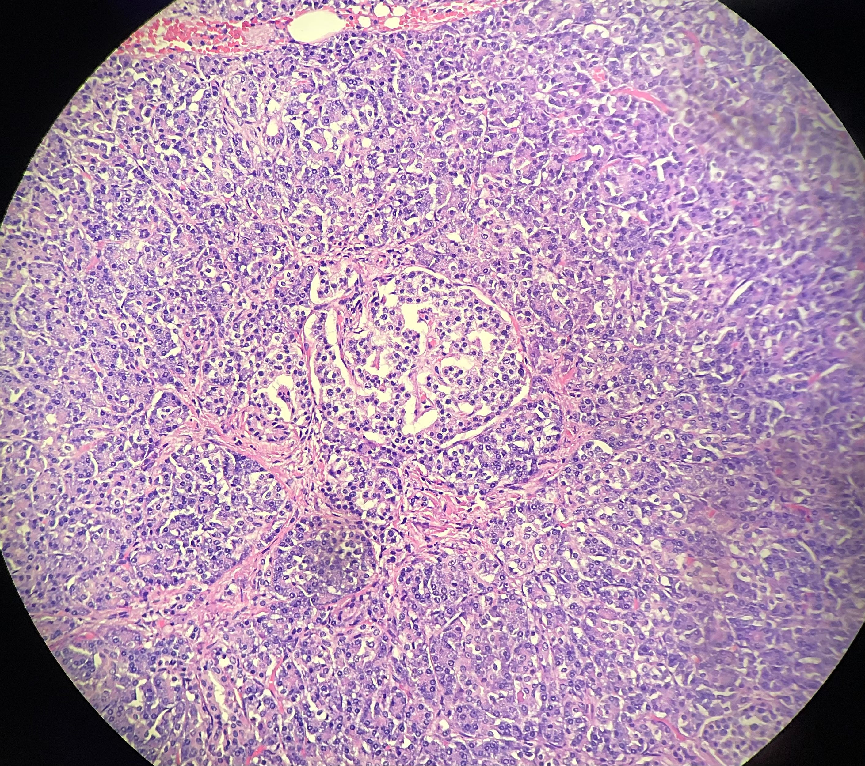
I was working on some microscopic examination slides on Friday and saw a really nice example of pancreatic histology (also known as the microscopic anatomy of the pancreas). Why is this uncommon in the field of forensics? Because when the body dies, the cell walls begin to break down, a process known as autolysis. The problem in particular with the pancreas is that when those cells break down they release the same enzymes used for digestion of the food we eat. In other words, the pancreas digests itself after death and we don’t often get a great view of it. But for whatever reason, this person’s pancreas held up and now I will show you one of my favorite structures in the pancreas. Of course, as you look at this image you’re probably thinking ‘This looks like one of those dot pattern things they make me try to find numbers in at the eye doctor.’ But this is a low power magnification field of the pancreas. Let me help you a little more:
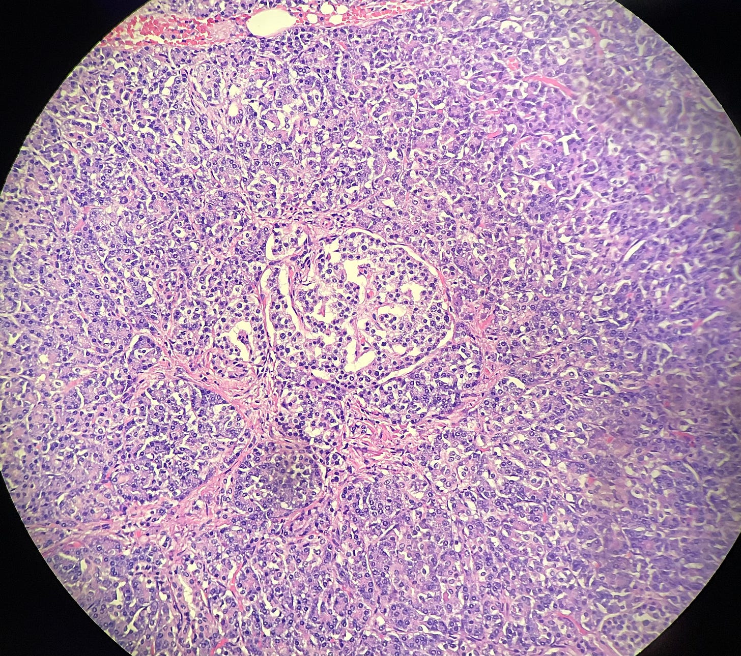
The circled structure is known as an Islet of Langerhans. Dr. Langerhans was a pathologist in the 1800s that named this (and many other things) in particular for microscopic anatomy. Without these structures we could not live; these are endocrine cells that produce the immensely important hormones of insulin, glucagon, and somatostatin. Let’s take a closer look:
I think it’s pretty clear that we are looking at the rounded structure in the middle of the photo that has slightly lighter colored cytoplasm compared with the cells around it. This a singular Islet and you cannot tell by looking at it if this is producing insulin or not. Now, of course while insulin gets the most fanfare with its function of getting glucose into cells for energy, Islets can also be composed of cells that produce glucagon and somatostatin. Glucagon is a hormone that raises blood sugar when levels are getting low or when increased glucose is needed. Somatostatin can inhibit both insulin and glucagon release.
An entire class can be taught on the anatomy, physiology, and pathophysiology of pancreatic Islets, so this is just a brief overview. I also think it’s nice to be able to see these cells and put a ‘face with a name’ so to speak. For board examination purposes, remember these facts:
Insulin, reduces blood glucose, produced by beta cells
Glucagon, increases blood glucose, produced by alpha cells
Somatostatin, inhibits insulin and/or glucagon, produced by delta cells
Soon, we will talk about cancers that arise from the Islet cells. Thanks for reading.
-DLW
I learned so much here. Thank you so much for this. I’m struggling with my BS right now due to steroids. I like to know from the bottom up. The pictures help me a lot also. Again, thanks.
I love this, especially because I am a Type 1 Diabetic.